
Gallbladder surgery, commonly known as cholecystectomy, is performed to remove the gallbladder due to conditions like gallstones, inflammation, or infection. This procedure is generally safe and effective, helping relieve symptoms caused by gallbladder dysfunction. However, in some cases, complications can arise following the surgery, particularly involving the bile ducts. To address these issues, a stent after gallbladder surgery may be necessary.
Dr. Vipulroy Rathod, a globally recognized gastroenterologist in Mumbai, India, explains:
“A stent helps ensure proper bile flow from the liver to the small intestine, preventing obstructions or leaks that can occur post-surgery. A well-placed stent can significantly improve recovery, reduce the risk of infection, and help prevent bile duct complications after gallbladder removal.”
Dr. Rathod specializes in advanced gastrointestinal procedures, including gallbladder stent surgery. His expertise ensures that the procedure is performed with precision and minimal discomfort, promoting optimal recovery. Dr. Vipulroy Rathod’s approach to post-surgery care focuses on reducing risks and providing tailored solutions to help patients recover quickly and without complications.
First, let’s explore how a stent works and its role following gallbladder surgery.
What Is a Stent and Why Is It Used After Gallbladder Surgery?
A stent is a small, flexible tube placed into a duct or vessel to help keep it open. After gallbladder removal, a cholecystectomy stent may be used if there’s a risk of bile duct obstruction or narrowing.

The bile duct, which carries bile from the liver to the small intestine, may become blocked or constricted due to surgery or other complications. A stent helps maintain an open passage, ensuring bile continues to flow properly and preventing further issues such as jaundice or infections.
Now, let’s discuss the situations in which a stent becomes essential after gallbladder surgery.
When Is a Stent Needed After Gallbladder Surgery?
A stent is typically needed if there are complications such as:

Bile duct obstruction
Caused by scar tissue or injury during the surgery.

Bile leakage
If bile leaks from the duct into surrounding tissues, a stent can help redirect bile flow.

Strictures
Narrowing of the bile duct that may occur after surgery.

Infection
Bile duct infections can lead to blockages that require stent placement for proper drainage.
Dr. Vipulroy Rathod emphasizes that a stent is an effective solution for managing these complications and improving healing.
How do you know when a stent might be required after gallbladder surgery? Let’s discuss the signs to look out for.
Symptoms Indicating the Need for a Stent Post-Surgery
Symptoms that may indicate the need for a stent after gallbladder removal include:
If these symptoms occur, Dr. Rathod recommends early intervention to prevent complications and ensure a smooth recovery.
What is the process for placing a stent after gallbladder removal? Let’s break down the procedure.
How Is a Stent Placed After Gallbladder Removal?

1. Preparation
The patient is usually under anesthesia or sedation so as to comfort him or her throughout the process.
2. Endoscopic Procedure
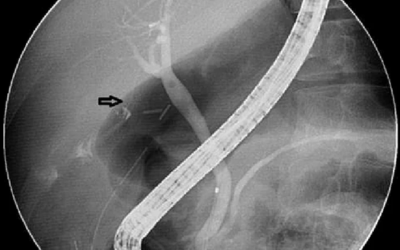
The stent can be installed endoscopically, with the help of ERCP (Endoscopic Retrograde Cholangiopancreatography), which is a procedure that implies inserting an endoscope through the mouth.
3. Accessing the Bile Duct
The endoscope will be inserted into the digestive tract to the bile duct where the stent will be placed.
4. Stent Insertion
A thin, flexible tube (the stent) is then carefully placed in the bile duct in order to keep the passage open so that bile can flow through.
5. Placement Verification
The position of the stent is checked using imaging techniques like X-ray or fluoroscopy to ensure it's properly placed.
6. Post-Procedure Monitoring
After placement, the patient is monitored for any signs of discomfort, infection, or complications.
This minimally invasive approach helps prevent further complications and ensures bile continues to flow properly after gallbladder removal.
What should you do after the stent is placed to ensure proper care? Let’s explore the essential steps for maintaining the stent after surgery.
Post-Surgery Care and Maintenance of a Stent
Following the placement of a stent, there are certain aftercare guidelines that one has to adhere to:
Periodic examinations
To check the position of a stent and there are no blockages.
Watch for infection
Watch for any signs of infection, e.g. fever or abnormal pain.
Light lifting
Do not engage in hard work until your doctor clears you.
Hydration and diet
Drink as much as possible of fluids and eat a healthy diet to aid in the healing process.
Dr. Rathod stresses that post-care must be consistent to avoid complications such as displacement of stents or infection.
Can you avoid the need for a stent after gallbladder surgery? Here’s how preventive measures can help.
How to Prevent the Need for a Stent After Gallbladder Surgery
Although certain factors such as scarring are unavoidable, the risk of the necessity of stenting could be minimized by:
Early removal of gallstones
Before surgery, it will avoid complications such as inflammation or infection.
Choosing an experienced surgeon
Lowers the risks of bile duct injury during surgery.
Post-surgery follow-up
The early identification of issues with the bile duct can avoid the necessity of a stent.
Maintaining a healthy lifestyle
Reducing factors that contribute to bile duct issues, such as obesity or excessive alcohol consumption.
Dr. Rathod emphasizes the importance of proactive healthcare and regular follow-ups for better long-term outcomes.
Conclusion
The placement of a stent after gallbladder surgery can be a crucial step in ensuring proper bile flow and preventing complications such as infection or obstruction. While it is often necessary to address post-surgery issues, proper care and early intervention can help manage the risks associated with the procedure. Dr. Vipulroy Rathod’s expertise in gallbladder stent surgery ensures that patients receive the best care, from stent placement to recovery.
Frequently Asked Questions
A gallbladder stent is a small tube placed in the bile duct after gallbladder surgery to help maintain bile flow and prevent blockages.
A stent is necessary if there is bile duct obstruction, leakage, or narrowing after surgery, helping restore proper bile flow.
The duration varies, but a stent is generally left in place until the bile duct heals, which could take a few weeks to a few months.
Yes, the stent can be removed once the bile duct heals or the underlying issue is resolved, typically during follow-up procedures.
Yes, most patients can return to normal activities once recovery is complete, with regular monitoring to ensure proper stent function.
Reference links:
https://myhealth.alberta.ca/Health/aftercareinformation/pages/conditions.aspx?hwid=abr7664
https://my.clevelandclinic.org/health/treatments/17763-biliary-stent
Disclaimer: The information shared in this content is for educational purposes and not for promotional use.